هل تتوق إلى ابتسامةٍ أكثر إشراقًا وثقةً؟ لست وحدك من يطمح لذلك. قد تبدو الابتسامة المثالية بعيدة المنال عندما تفكر بالسلبيات المرتبطة بها. في بروف كلينيك بإسطنبول، تستطيع معنا الحصول على الابتسامة التي تريد من خلال عدسات الأسنان التي تعيد صياغة ابتسامتك لتتألق ببريقٍ هوليوودي.
في هذا المقال، ستتعرّف على كلّ ما يتعلق بعدسات الأسنان: الأنواع المختلفة المتاحة، أيّها الأفضل، العوامل المؤثرة على تكلفتها والنتائج المذهلة قبل وبعد العلاج التي يمكنك توقعها، ولماذا تُعد بروف الخيار الأول في تركيا لتجديد الابتسامة.
ما هي عدسات الأسنان؟
ربما سمعت بمصطلح عدسات الأسنان، هو مصطلحٌ يُذكر عادةً عند الحديث عن كيفية الحصول على ابتسامةٍ مثالية، لكن ما هي هذه العدسات بالضبط؟ ببساطة هي أغطيةٌ رقيقةٌ مصنوعةٌ حسب الطلب من مواد عالية الجودة مثل الخزف أو الراتنج المركب تُصمم لتغطية السطح الأمامي للأسنان، مانحةً إيّاها مظهرًا خاليًا من العيوب. تخيّلها كسترةٍ مصممةٍ خصيصًا لأسنانك تخفي عيوبًا مثل البقع، التشققات، أو الفجوات وتعزز ثقتك بنفسك.
في بروف كلينيك بإسطنبول، متخصصون في صناعة عدسات أسنان تتناغم بسلاسةٍ مع أسنانك الطبيعية. سواء كنت تعاني من تصبغاتٍ لا يمكن للتبييض معالجتها أو أسنانٍ غير متساوية تجعلك تتردد في الابتسام، يمكن للعدسات السنية أن تغيّر مظهرك في بضع زياراتٍ فقط. إنها متينةٌ، مقاومةٌ للبقع ومصممةٌ لتتناسب مع الشكل واللون الذي ترغب به.
احجز استشارتك اليوم عبر واتساب أو مكالمة سريعة، ودعنا نستكشف كيف يمكننا تصميم عدسات أسنان مثاليةً في بروف كلينيك.
الحالات التي تستدعي تركيب عدسات الأسنان
لابد وأنك متشوّقٌ لمعرفة كيف لعدسات الأسنان أن تمنحك ابتسامةً مثالية؟ لدينا مجموعةٌ من الحالات الشائعة التي تستدعي تركيب مثل هذه العدسات، فتعرّف معنا إن كنت ممن يحتاجون لتركيبها أو لا:
- الأسنان المتصبغة: عندما لا تستجيب أسنانك لعلاجات التبييض بسبب بقع القهوة، التدخين أو العوامل الوراثية توفر القشور مظهرًا مشرقًا ومتناسقًا.
- الأسنان المتشققة أو المكسورة: قد تسبب الحوادث البسيطة أو التآكل مع مرور الوقت عدم تساوٍ، فتأتي العدسات وتغطي هذه العيوب بسلاسة.
- الفجوات بين الأسنان: وخاصةً البسيطة منها، تقدم العدسات السنية مظهرًا أنيقًا دون الحاجة إلى التقويم.
- الأسنان غير المتناسقة أو غير المنتظمة: إذ تعمل العدسات على خلق تناسقٍ طبيعيٍّ للأسنان التي تفتقر إلى التماثل.
في بروف كلينيك بإسطنبول، ساعدنا عددًا كبيراً من الأشخاص على تحويل ابتساماتهم بعدساتٍ سنية مصممة خصيصًا لاحتياجاتهم. مهما كانت المشكلة، يضمن فريقنا أن تبدو العدسات وكأنها جزءٌ طبيعيٌّ من أسنانك.
هل تود معرفة ما إذا كانت عدسات الأسنان هي الحل المناسب لك؟ تواصل معنا عبر واتساب أو احجز استشارتك اليوم، ودعنا نصمم ابتسامةً ستحبها.

اقرأ أيضاً: ما هي عدسات أسنان لومينير؟ المميزات والعيوب والأسعار
مميزات وسلبيات عدسات الأسنان
في حال قررت تحسين ابتسامتك باستخدام العدسات السنية، فقرارك يتطلّب منك موازنة مزاياها وسلبياتها لتتمكن من اتخاذ قرارٍ نهائيٍّ. ونحن سنساعدك من خلال استعراض إيجابيات وسلبيات عدسات الأسنان:
مميزات عدسات الاسنان
- تحول مذهل للابتسامة: تعالج العدسات التجميلية للأسنان التصبغات، التشققات أو الفجوات على الفور مانحةً إيّاك ابتسامةً واثقةً تليق بنجوم هوليوود.
- مظهر وملمس طبيعيان: تُصمم هذه العدسات بعنايةٍ فائقةٍ لتتناغم تمامًا مع أسنانك، فتتألق بانسجامٍ مثاليٍّ يجعلها تبدو كجزءٍ لا يتجزأ من ابتسامتك الرائعة، دون أن يدرك أحد اختلافها.
- نتائج طويلة الأمد: مع العناية المناسبة، يمكن للعدسات السنية أن تحتفظ ببريقها لمدة 10 إلى 15 عامًا.
- مقاومة فائقة للبقع: سواء كنت من هواة القهوة أو الشاي؟ عدسات الأسنان، خاصة الخزفية تقاوم البقع بشكلٍ أفضل من الأسنان الطبيعية.
سلبيات عدسات الأسنان
- التكلفة الأولية: قد تكون تكلفة عدسات الأسنان مرتفعة في البداية، لكن متانتها تجعلها خيارًا مجديًا للكثيرين.
- غير قابلة للإزالة: نظرًا لإزالة طبقةٍ رقيقةٍ من مينا الأسنان، فإن العدسات السنية خيارٌ دائم، لذا يتطلب منك الأمر قرارًا واثقًا.
- العناية الدقيقة: رغم قوتها، تتطلب العدسات تجنّب عاداتٍ مثل قضم الأظافر أو مضغ الثلج للحفاظ على سلامتها.
- حساسية محتملة: يشعر البعض بحساسيةٍ مؤقتةٍ في الأسنان بعد تركيب العدسات، لكنها عادةً ما تتلاشى سريعًا.
في عيادة بروف بإسطنبول، نلتزم بمرافقتك في كلّ خطوة، مؤكدين أن تكون العدسات السنية متناغمة تمامًا مع أسلوب حياتك. تواصل معنا عبر واتساب أو احجز استشارتك اليوم، ودعنا نصمم ابتسامةً ستفخر بالتباهي بها.

أنواع عدسات الأسنان
بالتأكيد تتطلع إلى تعزيز ابتسامتك بمظهرٍ طبيعيٍّ مفعمٍ بالثقة، وهنا تظهر عدسات الأسنان كحل مثالي. هذه الأغشية الرقيقة، المصممة خصيصًا لتغطية أسنانك، تعالج عيوبًا مثل التشققات، البقع، أو الفجوات، مانحةً إياك ابتسامة تليق بنجوم هوليوود. في عيادة بروف بإسطنبول، نقدم مجموعة متنوعة من خيارات القشور السنية التي تتناسب مع احتياجاتك وميزانيتك.
دعنا نستعرض أفضل أنواع القشور السنية لتختار ما يناسبك.
عدسات أسنان خزفية
مصنوعةٌ من السيراميك عالي الجودة، تُحاكي لمعان وملمس الأسنان الطبيعية، فتندمج بسلاسةٍ مع ابتسامتك. إنها متينةٌ للغاية، تقاوم بقع القهوة أو الشاي ما يحافظ على إشراقة ابتسامتك لسنوات. علاوةً على ذلك، تُصمم هذه القشور خصيصًا لك فتضمن بذلك ملاءمة مثالية. إذا كنت تطمح إلى تحوّلٍ دائمٍ لابتسامتك، فالعدسات الخزفية مناسبةٌ جداً.
عدسات كمبوزيت
إنها خيارٌ ممتازٌ إذا كنت تبحث عن إجراءٍ أسرع وأكثر اقتصاديةً. رغم أنها قد لا تدوم طويلًا مثل العدسات الخزفية، إلّا أنها تمنح مظهرًا مذهلاً ويمكن تهيئتها بسهولةٍ عند الحاجة. عدسات الكمبوزيت مثاليةٌ لمعالجة العيوب البسيطة دون إرهاق ميزانيتك.
إن كنت مستعداً لاستكشاف خياراتك؟ احجز استشارة مجانية معنا اليوم عبر واتساب أو اتصل بنا مباشرةً. دعنا نبدأ رحلة تغيير ابتسامتك.
اقرأ المزيد: ما هو كومبوزيت فينير الأسنان: الفوائد والعيوب وكل ما تود معرفته
ما هو أفضل نوع عدسات أسنان
نتفهّم في بروف كلينيك رغبتك في الحصول ابتسامةٍ واثقةٍ تعكس شخصيتك، لذا نهتم بتقديم عدسات للأسنان مصممة بإتقان لتعزيز جمالك الطبيعي. ليست كل العدسات متساوية، فبعضها يتفوّق في المظهر، المتانة والراحة.
دعنا نستعرض أفضل الخيارات التي ستضفي على ابتسامتك سحرًا طبيعيًا ستحب التباهي به.
عدسات خزفية
وهي الخيار المفضل لأسبابٍ مقنعة. تُصنع من السيراميك عالي الجودة، فتبدو حيويةً وطبيعية، إذ تعكس الضوء بطريقةٍ مماثلةٍ لأسنانك الأصلية. كما أنها متينةٌ للغاية، تقاوم التصبّغات وتحافظ على تألقها لمدةٍ تصل إلى 15 عامًا أو أكثر مع العناية الملائمة. سواء كنت تسعى لمعالجة البقع، الفجوات أو الأسنان غير المنتظمة، توفر العدسات السنية الخزفية نتيجةً استثنائيةً مصممةً بعناية لتناسبك. إن أردت ابتسامةً خاصةً بك، ستكون هذه العدسات الأفضل لك.
عدسات زيركون
خيارٌ حديثٌ نسبيًا، لكنه يحظى بشعبيةٍ متزايدةٍ بسرعة. تُصنع من ثاني أكسيد الزركونيوم، وتتميز بمتانةٍ استثنائيةٍ ومظهرٍ أنيقٍ مصقولٍ. تُعد عدسات الزيركون بديلاً مثاليًا إذا كنت تبحث عن عدساتٍ قادرةٍ على تحمّل الاستخدام اليومي مع الحفاظ على جاذبيتها. فضلاً عن ذلك، فهي متوافقةٌ حيويًا، ما يجعلها لطيفةً على اللثة ومريحةً منذ اللحظة الأولى. في حال رغبت بابتسامةٍ طبيعيةٍ تجمع بين القوة والجمال؟ قد تكون الزركونيا الخيار الأمثل لك.
إذاً، ما الذي يجعل العدسات السنية متميزة؟ إنها قدرتها الخاصة على الجمع بين الجمال والوظيفية. سواء اخترت الخزف أو الزركونيا، ستحصل على ابتسامةٍ مخصصةٍ تبرز ثقتك بمظهرٍ طبيعيٍّ خالٍ من التصنّع.
لن تجد صعوبة في اختيار نوع العدسات الذي يناسبك، فقط تواصل معنا اليوم للحصول على استشارة مجانية. اتصل بنا أو أرسل رسالة عبر واتساب، ودعنا نصمم ابتسامتك الطبيعية معًا.

اقرأ المزيد: تركيبات الزيركون وأسنان الزيركون: دليل شامل
سعر عدسات الأسنان
رغم أن الابتسامة الساحرة مكلفة نوعاً ما، لكننا في بروف كلينيك بإسطنبول، نؤمن أنها يجب أن تكون في متناول الجميع دون أن نغفل وضعك في صورة العوامل التي تؤثر على تكلفتها والتي سنوضحها لك بطريقةٍ بسيطةٍ.
تتحدد أسعار عدسات الأسنان بناءً على النوع. فعلى سبيل المثال، تتألق العدسات الخزفية بمظهرها الطبيعي ومتانتها العالية، الأمر الذي يعكس جودتها الاستثنائية. في المقابل، توفر عدسات كمبوزيت الأسنان خيارًا أكثر اقتصاديةً، وهي مثاليةٌ لمن يرغب في تجديد ابتسامته دون تحمّل تكاليف باهظة. لكلّ مادة خصائصها المميزة، وسنوجهك لاختيار ما يتماشى مع تطلعاتك وأسلوب حياتك.
عاملٌ آخر يؤثر على التكلفة هو عدد العدسات المطلوبة. يفضل البعض تغطية جميع الأسنان لتحقيق تغيير كامل للابتسامة، بينما يكتفي آخرون ببضع عدساتٍ لمعالجة أسنانٍ محددةٍ.
في عيادة بروف، نضع خطةً علاجيةً مخصصةً تتناسب تمامًا مع احتياجاتك، ملتزمين بأن تتحمّل تكاليف معقولة في متناول يدك. تواصل معنا اليوم عبر واتساب.
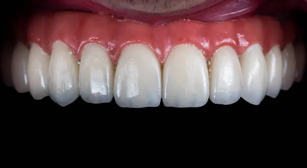
عدسات الأسنان قبل وبعد
دعنا نأخذك في جولةٍ عبر رحلة تحوّل ابتسامتك، ونكشف لك لماذا تُعد هذه الخطوة ثورية فعلاً.
قبل العدسات السنية، قد تشعر بالخجل من ابتسامتك. ربما أصفرّت أسنانك مع مرور الزمن، أو تجعلك فجوةٌ صغيرةٌ تتردد في الضحك بحرية. يأتي إلينا البعض بأسنانٍ معوّجةٍ أو متآكلةٍ لا تعبر عن شخصيتهم الحقيقية. هنا تتدخل خبرة بروف كلينيك. فريقنا في إسطنبول يستمع إلى رغباتك ويصمم عدساتٍ سنية تلبي احتياجاتك الخاصة، سواء كنت تبحث عن تحسينٍ طفيفٍ أو ابتسامةٍ هوليووديةٍ جريئةٍ.
بعد العدسات، ستشعر وكأنك شخصٌ جديدٌ. تبدو أسنانك مشرقةً، متساويةً ومصقولةً بشكلٍ طبيعي كأنها ابتسامة نجم سينمائي دون أيّ مظهرٍ مصطنع. سواء اخترت العدسات الخزفية لمتانتها أو الكمبوزيت لتغيير سريع، النتائج مذهلة. ستجد نفسك تبتسم أكثر، تلتقط الصور الذاتية بثقة وتشعر أن لا شيء يقف في طريقك.
في بروف كلينيك، نكرس جهودنا لتصميم ابتساماتٍ تعبر عن شخصيتك. بفضل التقنيات المتقدمة ونهجنا المتفاني في الرعاية، أصبحنا الوجهة المفضلة في تركيا لتحقيق الابتسامة الهوليوودية الأسطورية.
هل تود رؤية الفرق الذي يمكن أن تحدثه العدسات السنية لك؟ دعنا نحقق ذلك، احجز استشارة مجانية اليوم، وتواصل عبر واتساب أو اتصل بنا مباشرة.

بروف كلينيك أفضل عيادة ابتسامة هوليود في تركيا
نرحب بك في بروف كلينيك، الوجهة الأولى في تركيا لتصميم ابتسامةٍ مثاليةٍ تُحاكي تألق النجوم. في قلب إسطنبول، نحن أكثر من مجرّد عيادة أسنان، نحن شركاؤك في رحلة تغيير ابتسامتك إلى تحفة فنية تجمع بين الثقة، الطبيعية والتفرّد الذي يعكس شخصيتك.
إليك لماذا يختارنا الناس من جميع أنحاء العالم لتحقيق أحلامهم السنية:
- إبداع حرفي: أطباؤنا المهرة من بين الأفضل في تركيا، يستخدمون أحدث التقنيات لتصميم عدسات أسنان طبيعية ومذهلة.
- رعاية مخصصة: من العدسات الخزفية الفاخرة إلى الخيارات الاقتصادية، نصمم خطط علاجٍ تتماشى مع أهدافك بما تضمن راحتك وثقتك في كلّ خطوة.
- أسعار مناسبة: تقدم عيادتنا في إسطنبول رعاية سنية استثنائية بأسعار في متناول اليد تتيح لك الحصول على ابتسامة واثقة بسهولة.
- تجربة استثنائية: يجمع فريقنا بين الاحترافية المتميزة والعناية الحقيقية، جاعلين من رحلة علاجك رحلةً لاتنسى بقدر ابتسامتك الجديدة.
هل أنت مستعد لتغيير ابتسامتك؟ تواصل مع بروف كلينيك للحصول على استشارة مجانية عبر واتساب أو الهاتف اليوم. اكتشف لماذا نحن الخيار الأول لعدسات الأسنان.
الأسئلة الشائعة حول عدسات الأسنان:
ما هي سلبيات عدسات الأسنان؟
رغم أن عدسات الأسنان قادرةٌ على تغيير ابتسامتك، إلا أنها تأتي مع بعض السلبيات. فهي مكلفةٌ وغالبًا لا يغطيها التأمين، كما تتطلب إزالة طبقةٍ رقيقة من المينا، وهو إجراءٌ لا رجعة فيه. قد يعاني بعض المرضى من حساسية مؤقتة للحرارة أو البرودة، وقد تتعرض العدسات للتشقق أو الكسر إذا تعرضت لضغط قوي أثناء العض. علاوة على ذلك، لا تعالج العدسات مشكلات الأسنان الأساسية مثل التسوس، لذا يجب معالجتها بشكلٍ منفصلٍ.
ما هي مدة بقاء عدسات الأسنان؟
مع العناية المناسبة، يمكن أن تدوم العدسات السنية من 10 إلى 15 عامًا أو أكثر.
هل ينصح بعدسات الأسنان؟
نعم، فهي مناسبةٌ لتحسين العيوب الجمالية مثل البقع أو الفجوات، ولكن بشرط أن تكون أسنانك ولثتك بصحةٍ جيدة. تواصل معنا لمناقشة حالتك أولاً.
ما الفرق بين ابتسامة هوليود وعدسات الأسنان؟
الابتسامة الهوليوودية:
- تمنح مظهرًا مشرقاً مستوحى من نجوم السينما.
- تقدم تحولًا كاملاً للأسنان من الناحية الجمالية.
- تشمل علاجات مثل القشور، التيجان، التبييض أو التقويم.
القشور السنية:
- تقدم علاجًا جماليًا محددًا ومركزًا.
- تُعد جزءًا من الابتسامة الهوليوودية.
- تغطي الأسنان بأغشيةٍ رقيقةٍ لتحسين اللون، الشكل أو المحاذاة.
هل عدسات الأسنان تطلع ريحة؟
لا، لا تسبب عدسات الأسنان رائحة فم كريهة، لكن إهمال النظافة حولها قد يؤدي إلى ظهور رائحة.
هل يمكن أن تسقط عدسات الأسنان؟
من النادر أن تسقط عدسات الأسنان عندما يتم تركيبها بشكلٍ صحيحٍ على يد طبيب أسنان متمرس. ومع ذلك، قد تتسبب عاداتٍ مثل مضغ الأطعمة الصلبة، صرير الأسنان أو عملية ربطٍ غير مثالية في ارتخائها أو انفصالها أحيانًا.
كم يستمر ألم الأسنان بعد تركيب العدسات؟
يشعر معظم الأشخاص بإزعاج طفيف أو حساسية بعد تركيب العدسات السنية، وعادةً ما تستمر هذه الحالة لبضعة أيام إلى أسبوع. يحدث ذلك أثناء تكيف الأسنان مع الأسطح الجديدة، خاصة عند تناول الأطعمة الساخنة، الباردة، أو السكرية. الألم المتواصل أو الحاد نادر للغاية، لكنه يتطلب زيارة الطبيب لفحص أي مشكلات محتملة مثل عدم الملاءمة أو تهيج الأعصاب.
ما الفرق بين عدسات الأسنان المؤقتة وعدسات الأسنان الدائمة؟
القشور المؤقتة:
- تركز على الوظيفة أكثر من المظهر الطبيعي.
- تُصنع من الأكريليك أو المواد المركبة البسيطة.
- تُستخدم كحلٍّ مؤقت (من أسبوع إلى ثلاثة أسابيع).
القشور الدائمة:
- تُربط بإحكامٍ لتوفير القوة ومقاومة البقع.
- توفر متانةً، مظهرًا طبيعيًا وملاءمةً دقيقةً.
- تُصنع من الخزف أو المواد المركبة للاستخدام طويل الأمد (10-15 عامًا).
هل يمكن أن ينكسر السن تحت التلبيسة؟
نعم، يمكن أن ينكسر إذا كانت التلبيسة غير محكمة أو في حال تعرض السن لإجهاد زائد أو نخر داخلي لم يُعالج، لذلك المتابعة الدورية ضرورية.
ما هو أفضل نوع من تلبيسات الأسنان؟
الإيماكس للأسنان الأمامية بسبب شفافيتها العالية وجمالها، والزيركون للأسنان الخلفية لقوته وتحمله، وكلاهما يتفوق على التلبيسات المعدنية أو الخزفية التقليدية.
كم يستمر الألم بعد تلبيسة الأسنان؟
الألم الخفيف قد يستمر من يوم إلى ثلاثة أيام، وإذا استمر أكثر أو كان نابضًا أو شديدًا، يجب مراجعة الطبيب لاحتمال وجود ضغط زائد أو حاجة لعلاج العصب.



