أحدثت تركيبات الزيركون ثورةً في طب الأسنان الترميمي والتجميلي، لما تتميز به من متانةٍ استثنائية، ومظهرٍ جمالي راقٍ وتوافقٍ حيوي مثالي مع أنسجة الفم.
في عيادة بروف كلينيك، العيادة الرائدة في تركيا في مجال طب الأسنان، نُتقن تصميم تيجان الزيركون حسب مقاييس دقيقة، لتستعيد الأسنان وظيفتها الطبيعية وتمنح ابتسامتك تألقًا جديدًا.
فسواء كنت تريد ترميماً كاملاً للفم أو استبدال سنٍ واحدة فقط، هذا الدليل سيطلعك على كلّ ما تحتاج معرفته عن تركيبات الزيركون في عام 2025.
ما هو الزيركون للأسنان؟
زيركون الأسنان ترميمٌ سني يُصنع من ثاني أكسيد الزركونيوم، وهو مادةٌ خزفيةٌ بلون السن، تُعرف بقوتها العالية وتوافقها الحيوي الممتاز مع الجسم. يستخدم الزيركون لتغطية الأسنان التالفة أو المشوّهة، حماية التركيبات الضعيفة، أو لإكمال زراعة الأسنان بمظهرٍ طبيعي أقرب ما يكون للأسنان الحقيقية.
تتميز تيجان الزيركون بقوة تحملٍ فائقة ومظهر طبيعي، ما يجعلها الحل الأمثل لكلٍّ من الأسنان الأمامية والخلفية.
أفضل لون أسنان الزيركون
تتوفر تركيبات الزيركون بعدة درجاتٍ لونيةٍ لتتناسب مع لون أسنانك الطبيعية. وتُحدد الدرجة المثالية بناءً على لون بشرتك، لون أسنانك الأصلي وجمالية ابتسامتك. وأكثر هذه الدرجات شيوعًا تشمل:
- A1 / A2: بياضٌ طبيعي يمنح مظهرًا مشرقًا واقعيًا.
- B1: أكثر بياضًا وسطوعًا، مثالي لمن يسعى إلى ابتسامةٍ شبيهةٍ بالهوليوودية.
- درجات التبييض: مخصصةٌ لمن يرغب في نتائج تجميلية بيضاء للغاية.
في عيادة بروف في تركيا، يساعدك أطباؤنا التجميليون في اختيار الدرجة الأنسب والأكثر تناسقًا مع ملامحك.

اقرأ أيضاً: ما هي ابتسامة هوليود 3D? مميزاتها…
أنواع تلبيسات الزيركون
هناك أنواعٌ مختلفة من تيجان الزيركون، كلٌّ منها يناسب احتياجاتٍ محددة:
- الزيركون الأحادي: قويٌّ للغاية ومثالي للأضراس والجسور التي تحتاج إلى دعمٍ قوي لتحمّل الضغط أثناء المضغ.
- الزريكون متعدد الطبقات: أكثر شفافيةً مع طبقة من البورسلين لجماليةٍ أفضل.
- الزيركون عالي الشفافية: يجمع بين القوة والمظهر الطبيعي، مناسبٌ للأسنان الأمامية.
- الزيركون المسبق التظليل: يأتي بلونٍ موحّد من المصنع دون الحاجة إلى صبغٍ أو طبقاتٍ إضافية.
اختيار النوع المناسب يعتمد على موضع السن، ومتطلبات التحمّل ومدى أهمية الناحية الجمالية في كلّ حالة.
اقرأ أيضاً: التيجان السنية: التكاليف والمزايا وطرق الحماية
مميزات وعيوب تركيبات الزيركون
مميزات تركيب الزيركون للأسنان
- جمالية ممتازة: تحاكي بمظهرها مظهر الأسنان الطبيعية.
- قوة فائقة:تعدّ مثاليةً للمرضى الذين يعانون من صرير الأسنان.
- متانة طويلة الأمد: يمكن أن تدوم من 10 إلى 20 عامًا مع العناية المناسبة.
- التوافق الحيوي: تقلل من مخاطر الحساسية أو تهيج اللثة بفضل انسجامها العالي مع أنسجة الفم.
- تحضير بسيط للسن: تتطلب إزالة كميةٍ أقل من بنية السن مقارنةً بأنواع التيجان الأخرى، ما يحافظ على صحة السن الأصلية قدر الإمكان.
عيوب تلبيس الزيركون
- تكلفة أعلى: فهي أغلى من التيجان المعدنية أو الراتنجية.
- كاشطة للأسنان: قد تؤدي إلى تآكل الأسنان المقابلة إذا لم يتم صقلها جيدًا.
- شفافية محدودة في الأنواع القديمة: تفتقر بعض الإصدارات الأقدم إلى الشفافية المطلوبة فتبدو أقل طبيعية مقارنةً بالبورسلين.

اقرأ أيضاً: مشاكل ومخاطر تيجان الأسنان: كل ما تود معرفته
الفرق بين الزيركون والأنواع الأخرى
بالمقارنة مع التيجان المعدنية أو الراتنجية أو البورسلين المدمج بالمعدن (PFM)، توفر تركيبات الزيركون قوةً وجمالية وعمرًا افتراضيًا أفضل. فبينما تتميز التيجان المعدنية بالقوة لكنها تفتقر إلى المظهر الطبيعي، تيجان البورسلين المدمج بالمعدن فد تتعرض للتشقق بمرور الوقت، في حين تبقى أسنان الزيركون قويةً ومقاومةً للتلف.
الفرق بين الزيركون الألماني والصيني
- الزريكون الألماني: معروفٌ بنقائه العالي وثباته وشفافيته. أغلى ثمنًا ولكنه يقدم جودةً ممتازة وعمرًا طويلًا.
- الزريكون الصيني: يتمتع بسعرٍ أقل ومتوفر على نطاقٍ واسع، إلّا أنه قد يفتقر إلى نفس درجة الإتقان والمتانة الموجودة في نظيراته الأوروبية.
في بروف كلينيك في تركيا، نستخدم حصريًا زيركون ألماني أو سويسري عالي الجودة لضمان أفضل النتائج الممكنة لمرضانا من حيث المتانة والمظهر الجمالي.
الفرق بين الزيركون والبورسلان للأسنان
في الجدول التالي سنوضح لك الفرق بين تلبيسات الزيركون والبورسلان:
| الميزة | الزيركون | البورسلين |
| القوة | أعلى | متوسطة |
| المظهر | طبيعي – قوي | أكثر شبها بالطبيعي |
| المتانة | 10 – 20 سنة | 5 – 10 سنوات |
| مقاومة البقع | ممتازة | جيدة جدا |
| مناسبة للأضراس | نعم | ليس دائما |
أسنان الزيركون توفر قوةً أكبر، ما يجعلها مناسبةًللأضراس والجسور، بينما قد يُفضّل البورسلين للأسنان الأمامية التي تتطلب جماليةً فائقة.
الفرق بين الزيركون واللومينير
اللومينير هي قشورٌ تجميلية رقيقة للغاية تُستخدم لتصحيح العيوب البسيطة في الابتسامة. بينما تركيبات الزيركون، فهي تغطيةٌ كاملة للسن لأغراضٍ ترميميةٍ ووظيفيةٍ وجماليةٍ في آنٍ واحد، وتوفر قوةً وقدرةً على تحمّل الضغط ما يجعلها مناسبة للأسنان المتضررة أو الضعيفة.
باختصار: اللومينيرز تُستخدم لتحسين المظهر فقط، بينما الزيركون يجمع بين التجميل والترميم واستعادة وظيفة السن.
الفرق بين الزيركون والفينير
- تركيبات الزيركون: تغطي السن بالكامل، مثالية للأسنان التالفة أو التي خضعت لترميماتٍ كبيرة.
- القشور التجميلية: تغطي السطح الأمامي للسن فقط، وهي الأفضل لتصحيح عيوبٍ شكلية بسيطة مثل التصبغات أو الفراغات الصغيرة.
إذا كانت أسنانك ضعيفةً أو متضررة، فإن الزيركون هي الحل الأنسب.

اقرأ أيضاً: بورسلين الأسنان: دليل شامل حول فينير البورسلان
سعر تلبيسة الزيركون
تعد تكلفة تركيب الأسنان الزيركون في تركيا أقل بكثير مقارنةً بأوروبا أو الولايات المتحدة، دون المساس بالجودة. في عيادة بروف تبدأ أسعار تلبيس أسنان الزيركون من:
- تاج واحد: 200-400 دولار
- تيجان زيركون لكامل الفم: 3000-5500 دولار، حسب عدد الأسنان والمواد المستخدمة
نقدم عروضًا شاملة للمرضى الدوليين تشمل الإقامة، النقل من وإلى المطار، وكامل خطة العلاج السني باحترافيةٍ عالية.
اقرأ أيضاً: تكلفة زراعة الأسنان في تركيا وفي العالم: ما الأفضل والاوفر؟
بروف كلينيك أفضل عيادة ابتسامة هوليود في تركيا
يختار آلاف المرضى من مختلف أنحاء العالم عيادة بروف كلينيك للحصول على تركيبات الزيركون الفاخرة وتحسينات شاملة للابتسامة. وإليك الأسباب:
- أطباء تجميل أسنان خبراء يتمتعون بخبرة دولية واسعة.
- تقنية CAD/CAM المتطورة لتصميم تيجان الزيركون بدقة عالية.
- زيركون ألماني ومختبرات أسنان رائدة لضمان أعلى معايير الجودة.
- أسعار مناسبة ونتائج مضمونة تجمع بين القيمة والكفاءة.
- رعاية من فئة الخمس نجوم وخطط علاج شخصية تناسب كل حالة.
في عيادة بروف، نعيد تعريف تجربة علاج الأسنان بمزيج من الخبرة، والتقنية والعناية الفائقة.
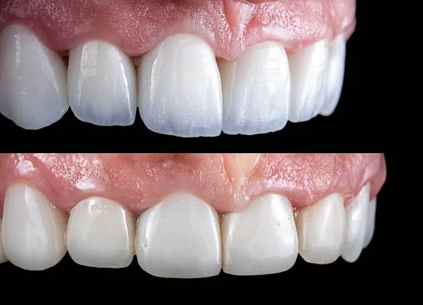
أسنان الزيركون قبل وبعد
تيجان الزيركون التي نقدمها لا تُغيّر شكل أسنانك فحسب، بل تُعيد إليك ثقتك بنفسك أيضًا.
استعرض نتائج قبل وبعد لمرضى اختاروا تيجان الزيركون في عيادة بروف، وشاهد كيف تحوّلت ابتساماتهم إلى إطلالات طبيعية، مشرقة، وطويلة الأمد.
إنه أكثر من مجرد علاج تجميلي، إنها خطوةٌ نحو ابتسامة تمنحك حضورًا وراحة تدوم.

اقرأ أيضاً: تركيبات الايماكس للأسنان: المميزات والعيوب والأسعار
الأسئلة الشائعة حول تركيبات الزيركون للأسنان:
هل يتغير لون أسنان الزيركون؟
لا يتغير لون تلبيس اسنان الزيركون مع الوقت لأنها مصنوعةٌ من مادة خزفيةٍ عالية الجودة مقاومة للتصبغات، على عكس بعض المواد الأخرى التي قد تتأثر بالمشروبات الملونة مثل القهوة أو الشاي.
أيهما أفضل الفينير أو الزيركون؟
يعتمد الاختيار على الحالة، الفينير مناسبٌ للتجميل السريع مع الحفاظ على الأسنان الطبيعية، بينما الزيركون أكثر متانةً ويناسب حالات تلبيس الأسنان بعد علاج الجذور أو عند وجود تلف كبير في السن.
ما هي عيوب أسنان الزيركون؟
من عيوب تلبيس الزيركون تكلفته المرتفعة نسبياً، وحاجته لبرد كميةٍ أكبر من السن مقارنة بالفينير، كما أن شفافيته أقل قليلاً من مواد مثل الإيماكس مما قد يؤثر على المظهر الطبيعي في بعض الحالات.
ما الأفضل للأسنان ايماكس أو زيركون؟
الإيماكس أفضل للقواطع الأمامية لشفافيته العالية التي تعطي مظهراً طبيعياً، بينما الزيركون أنسب للأسنان الخلفية لقوته ومقاومته العالية للكسر تحت ضغط المضغ.
هل أسنان الزيركون جيدة؟
نعم، تعتبر تركيبات الزيركون من أفضل الخيارات حالياً حيث تجمع بين المتانة العالية والمظهر الجيد، كما أنها متوافقة حيوياً مع أنسجة الفم ولا تسبب حساسية.
كم سنة تدوم تلبيسة الزيركون؟
تتراوح عمر تلبيسات الزيركون بين 15-20 سنة مع العناية الجيدة، وهي من أكثر أنواع التلبيسات عمراً بين المواد المستخدمة في طب الأسنان حالياً.
هل تسبب تركيبات الزيركون رائحة الفم؟
لا تسبب تركيبات الزيركون رائحة الفم إذا تم تركيبها بشكل صحيح مع ضمان إغلاق الحواف بإحكام، لكن سوء التركيب قد يؤدي لتراكم البكتيريا مسبباً الرائحة.
هل هناك ألم بعد تركيب الزيركون؟
قد يشعر المريض بحساسية بسيطة أو انزعاج لمدة يومين بعد التركيب، لكن لا يوجد ألم شديد في الحالات الطبيعية إذا كان السن سليماً قبل التلبيس.
ما هي عيوب أسنان الزيركونيا؟
- قساوته قد تؤثر على الأسنان المقابلة وتسبب تآكلها.
- أقل شفافية من البورسلان، ما يقلل من المظهر الطبيعي للأسنان الأمامية.
- قد يحتاج لطحن أكثر من السن الأصلي أثناء التحضير.
- أعلى تكلفة مقارنة بخيارات أخرى.



