عندما يتعلق الأمر بتحقيق ابتسامة مشرقة خالية من العيوب، بورسلين الأسنان أو الفينير الخزفي تتصدر المراتب الأولى في طب الأسنان التجميلي. تُعرف بمظهرها الطبيعي ومتانتها الطويلة الأمد، وقد مكّنت عددًا لا يحصى من الأشخاص من استعادة ثقتهم بابتساماتهم.
فسواء كنت في بداية بحثك أو مستعدًا لاتخاذ الخطوة التالية، فهذا الدليل الشامل لعام 2025 من عيادة بروف كلينيك يغطي كل ما تحتاج إلى معرفته—من التكلفة والإجراء إلى النتائج قبل وبعد.
ما هو فينير البورسلان؟
قشور البورسلين هي أغلفة رقيقة مصنوعة حسب الطلب، تُصنع من البورسلين السني عالي الجودة، وتُثبت على الأسطح الأمامية للأسنان لتحسين شكلها وحجمها ولونها ومظهرها العام.
تُعتبر مثالية لعلاج المشاكل التالية
- الفراغات بين الأسنان
- الأسنان المصفرة أو الملطخة
- الأسنان المكسورة أو المتشققة
- الانحرافات البسيطة أو الأشكال غير المتساوية
وبالمقارنة مع قشور الكومبوزيت، يقدم البورسلين متانة فائقة ومقاومة مذهلة للتصبغ، تنتهبي بابتسامة طبيعية تدوم طويلاً.
اقرأ أيضاً: ما هي ابتسامة هوليوود (هوليود سمايل)؟

مقارنة أسنان البورسلين مع أنواع الأسنان الأخرى
أسنان البورسلان مقابل الأسنان الطبيعية
تُصنع قشور البورسلين لتحاكي مظهر وملمس الأسنان الطبيعية بدقة؛ لتقدم ممزيات عدة مثل::
- سطح أملس: يمنح السطح المزجج للبورسلين مظهرًا لامعًا ومصقولًا.
- المتانة: مع العناية المناسبة، يمكن أن تدوم قشور البورسلين من 10 إلى 15 عامًا أو أكثر.
- مقاومة التصبغ: على عكس مينا الأسنان الطبيعية، يتمتع البورسلين بمقاومة عالية للبقع الناتجة عن القهوة والشاي والنبيذ والتبغ.
ومع ذلك، من المهم ملاحظة أن القشور ليست قابلة للتجدد—بمجرد إزالة المينا، لا يمكن استعادتها. لذا، بينما تعزز الجمالية بشكل كبير، يبقى الحفاظ على نظافة الفم الممتازة أمر ضروري لضمان استمراريتها طويلًا.
فينير البورسلان مقابل فينير الكومبوزيت
في النهاية، يعود الاختيار بين قشور البورسلين وقشور الكومبوزيت إلى ثلاثة عوامل رئيسية: الديمومة، والمظهر، والتكلفة.
فينير البورسلين
- تكلفة أعلى
- إزالة أكبر للمينا
- مقاومة عالية للتصبغ
- أكثر متانة (تدوم 10-15 عامًا)
- تصنيع في مختبر الأسنان حسب الطلب
فينير الكومبوزيت
- اقتصادية أكثر
- إزالة طفيفة للمينا
- تشكيل مباشرة على الأسنان
- دوام عادةً من 4-8 سنوات
- أكثر عرضة للتصبغ والتآكل
إذا كنت تبحث عن نتيجة فاخرة ابتسامة هوليود طبيعية مع استدامة طويلة، فإن فينير البورسلين تستحق ما تدفع.

اقرأ أيضاً: الأسنان الصفراء: أسبابها وهل هي أقوى من الأسنان البيضاء؟
سعر تلبيسة الأسنان البورسلين
أحد الأسئلة الأكثر شيوعًا هو: كم تكلفة قشور البورسلين؟ تعتمد الإجابة على العيادة، والموقع، وعدد الأسنان المعالجة.
متوسط التكلفة لكل سن
- أوروبا: 800-2000 يورو
- ركيا (عيادة بروف): 250-500 دولار
- الولايات المتحدة/المملكة المتحدة: 900-2500 دولار
في عيادة بروف كلينيك، نقدم فينير بورسلين بجودة عالمية وبأسعار معقولة، مما يجعل تركيا وجهة رائدة للسياحة العلاجية للأسنان في عام 2025.
تكلفة قشور البورسلين لكامل الفم
يشمل تحول الابتسامة الكامل عادةً 16-20 قشرة (8-10 في كل من الفك العلوي والسفلي).
تقدير تكلفة الفم الكامل
- عيادة بروف كلنيك (تركيا): 4000-7000 دولار
- الولايات المتحدة/المملكة المتحدة: 15000-30000 دولار أو أكثر
في بروف كلينيك، تشمل باقاتنا الشاملة غالبًا النقل من المطار، والإقامة في الفندق، والعلاج الشامل من قبل أفضل أطباء الأسنان التجميليين، مما يوفر قيمة ممتازة ونتائج رائعة.
اقرأ أيضاً: تكلفة فينير البورسلين: دليل شامل لابتسامة أحلامك مع بروف كلينيك
بروف كلينيك أفضل عيادة ابتسامة هوليوود في تركيا
ابتسامتك تستحق أفضل مستويات الخبرة. ونحن في بروف كلينيك في تركيا، نفخر أننا وجهة الكثير من المرضى من جميع أنحاء العالم للحصول على أفضل فينير بورسلين في تركيا بفضل:
- تصميم ابتسامات مخصصة تتناسب بدقة مع ملامح وجهك
- استخدام بورسلين عالي الجودة من أفضل مختبرات الأسنان
- فريق من أطباء الأسنان التجميليين ذوي المهارة الاستثنائية
- نهج يركز على المريض، يضمن الشفافية التامة دون تكاليف مخفية
- تقنيات متطورة في تصميم الابتسامة ثلاثية الأبعاد والانطباعات الرقمية
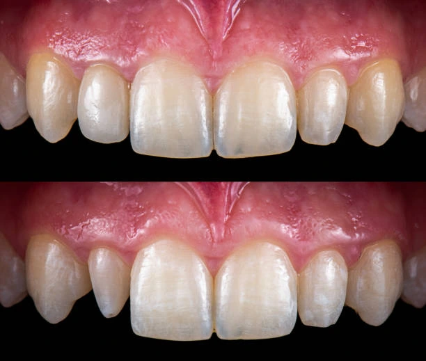
قشور البورسلين قبل وبعد
يخضع مرضانا لتحول مذهل في ابتسامتهم قبل وبعد الجلسات التي تعالج كل شيء بدءًا من الاصفرار الشديد إلى عدم التناسق.
قبل
– أسنان مصفرة أو ملطخة
– فجوات صغيرة أو ازدحام خفيف
– أطوال غير متساوية أو أشكال غير منتظمة
بعد
– ابتسامة أكثر بياضًا ومتجانسة اللون
– تناسب متوازن ومتناغم
– مظهر واثق جاهز للكاميرا

اقرأ أيضاً: فينير الأسنان السيراميك: كل ما تود معرفته
اكتشف تحولات قور البورسلين الحقيقية قبل وبعد في عيادتنا في بروف كلينيك، واحصل على الابتسامة التي طالما تمنيتها.
في الختام، تُعد قشور البورسلين من بين الابتكارات الأكثر تحويلًا في طب الأسنان التجميلي، حيث تعزز ليس فقط ابتسامتك ولكن أيضًا ثقتك بنفسك ومظهرك العام.
في عيادة بروف كلينيك في تركيا، نقدم علاجات قشور مخصصة يتم تنفيذها بفن ودقة استثنائيين. سواء كنت مقيمًا محليًا أو تسافر للسياحة العلاجية للأسنان، فريقنا الطبي المختص هنا لتحويل توقعاتك بابتسامة مثالية إلى واقع.
ابدأ رحلتك نحو الابتسامة المثالية اليوم. احجز استشارة مجانية مع عيادة بروف—الرائدة الموثوقة في قشور البورسلين.
الأسئلة الشائعة حول بورسلين الأسنان
ما هي عيوب البورسلين للأسنان؟
- غير قابل للإصلاح: إذا تضرر، يحتاج إلى استبدال كامل بدلاً من الترميم.
- التكلفة العالية: تركيب البورسلين مكلف مقارنة بخيارات أخرى مثل الكومبوزيت.
- إزالة المينا: يتطلب تحضير الأسنان إزالة جزء من مينا الأسنان الطبيعية، وهي عملية لا رجعة فيها.
- الهشاشة: على الرغم من متانته، قد يتشقق أو ينكسر إذا تعرض لضغط قوي مثل قضم أشياء صلبة.
ما هو الفرق بين أسنان بورسلان والزيركون؟
- الزيركون: مصنوع من مادة الزيركونيا (ثاني أكسيد الزركونيوم)، وهي مادة قوية جدًا ومتينة، غالبًا تُستخدم للتيجان أو الجسور بدون طبقة خارجية. مظهره طبيعي لكنه قد يكون أقل شفافية من البورسلين.
- البورسلين: عادةً يكون عبارة عن طبقة خزفية تُوضع فوق قاعدة معدنية أو زيركونية. يتميز بشفافية عالية ومظهر أقرب للأسنان الطبيعية، لكنه أقل قوة من الزيركون المستقل.
- الاستخدام: الزيركون مثالي للأسنان الخلفية التي تحتاج قوة تحمل، بينما البورسلين يُفضل للأسنان الأمامية لأغراض تجميلية.
هل الزيركون أفضل أم البورسلان؟
- يعتمد ذلك على الهدف:
- الزيركون أفضل إذا كنت تبحث عن متانة عالية ومقاومة للكسر، خاصة للأسنان الخلفية.
- البورسلين أفضل إذا كنت تريد مظهرًا تجميليًا طبيعيًا جدًا وشفافية عالية، خاصة للأسنان الأمامية.
- الخيار يحدده طبيب الأسنان بناءً على حالتك وموقع الأسنان.
كم تدوم أسنان البورسلان؟
مع العناية الجيدة (تنظيف يومي وتجنب العادات السيئة مثل قضم الأظافر)، تدوم قشور أو تلبيسات البورسلين عادةً من 10 إلى 15 عامًا، وقد تمتد أكثر إذا حافظت على نظافة فمك.
كم عمر تلبيسة الأسنان البورسلين؟
إذا كنت تقصد مدة صلاحيتها، فتلبيسة البورسلين تدوم عادةً من 10 إلى 15 عامًا مع العناية المناسبة. بعد ذلك، قد تحتاج إلى استبدال بسبب التآكل أو التلف.
هل أطقم الأسنان الأكريليك أفضل من البورسلين؟
- الأكريليك: أخف وزنًا، أرخص تكلفة، وأسهل في التعديل، لكنها أقل متانة وتتآكل بسرعة، وقد لا تبدو طبيعية مثل البورسلين.
- البورسلين: أقوى، أكثر مقاومة للبقع، ويحاكي الأسنان الطبيعية بشكل أفضل، لكنها أثقل وأغلى.
- الأفضل يعتمد على احتياجاتك: الأكريليك للحلول المؤقتة أو الاقتصادية، والبورسلين للجودة والطول العمري.
هل يمكن برد تلبيسة الأسنان البورسلين؟
لا، لا يمكن برد تلبيسة البورسلين بعد تركيبها مباشرة لأنها مادة صلبة ومعالجة. أي تعديل يتطلب إزالتها واستبدالها بأخرى جديدة. لكن يمكن للطبيب تشكيلها قبل التثبيت النهائي.
هل تسبب تلبيسة البورسلان رائحة الفم؟
لا، تلبيسة البورسلين نفسها لا تسبب رائحة الفم لأنها مقاومة لتراكم البكتيريا. لكن إذا لم يتم تنظيف الأسنان جيدًا حول التلبيسة، أو إذا كان هناك تسوس تحتها بسبب تركيب غير صحيح، قد تظهر رائحة كريهة. النظافة اليومية هي المفتاح
ما هي تقنية فينير الأسنان بدون برد؟
تعتمد على تركيب قشور خزفية فائقة الرقة تُلصق مباشرة دون نحت مينا الأسنان أو بردها، وتُعرف أيضًا بـ”فينير اللومينيرز”. تناسب الحالات التي لا تتطلب تعديل كبير في شكل الأسنان.
ما هو أفضل لون للفينير؟
أفضل لون للفينير هو الذي يتناسب مع لون بشرتك ولثة الأسنان ويمنح مظهرًا طبيعيًا؛ غالبًا يُختار بين درجات A1 و B1، مع تفضيل B1 لابتسامة ناصعة دون مبالغة.
متى أستطيع الأكل بعد تركيب الفينير؟
يمكن الأكل بعد زوال تأثير التخدير، أي خلال 1–2 ساعة، لكن يُفضل تجنب الأطعمة القاسية أو اللزجة خلال أول 24 ساعة لتثبيت الفينير بشكل مثالي.



