لم تعد الابتسامة الكاملة حلماً بعيد المنال، فمع التطور المذهل في طبّ الأسنان، أصبحت تقنية زراعة الأسنان all on 4 تقدم أملاً حقيقياً لاستعادة وظيفة وشكل أسنانك الطبيعي.
مقال بروف كلينيك اليوم خصصناه لنعرّفك بتقنية زراعة الأسنان all on 4 في تركيا، نحدثك عن مزاياها وعيوبها، تكلفتها ومن هم المرشحون الأنسب لإجراء هذا النوع من الزراعة؟
ما هي تقنية زراعة الأسنان All on 4؟
تقنية زراعة الأسنان all on 4 هي إجراءٌ طبيٌّ مبتكرٌ لزراعة الأسنان، يهدف إلى استبدال القوس السني الكامل المفقود باستخدام غرسات سنية فقط تُوضع بزوايا محددةٍ في عظم الفك تعمل كدعاماتٍ أساسيةٍ صلبةٍ لتثبيت جسر أسنانٍ كامل، تتيح هذه التقنية استعادة وظيفة الفم ومظهره الطبيعي بسرعةٍ وكفاءةٍ.
تُعد هذه التقنية حلاً مثالياً للكثيرين لتجنّب الحاجة لعددٍ أكبر من غرسات الأسنان أو إجراءات تطعيم العظم المعقدة.
المرشحون المثاليون لزراعة الأسنان بتقنية الكل على أربعة
إليك مجموعةٌ من المرشحين لزراعة الأسنان بتقنية الكل على أربعة All-on-4، تابع معنا لترَ إن كنت واحداً منهم:
- الأشخاص الذين فقدوا معظم أو كلّ أسنانهم في فكٍ علوي أو سفلي واحدٍ أو في كليهما.
- الباحثون عن حلٍّ ثابتٍ ودائمٍ لتعويض الأسنان المفقودة، بدلاً من أطقم الأسنان المتحركة التقليدية.
- الحالات التي تعاني من ضمورٍ عظميٍّ معتدلٍ في الفك مع كثافةٍ وحجمٍ كافيين في المناطق الأمامية لتثبيت الغرسات الأربع.
- الأفراد الذين يتمتعون بصحةٍ عامةٍ جيدةٍ، وقادرين على التحكّم بأيّ أمراضٍ مزمنةٍ قد يعانون منها.
- المرضى الذين يرغبون في الحصول على أسنانٍ ثابتةٍ بوقتٍ أقصر، وإجراءٍ جراحيٍّ أقل تعقيداً مقارنةً بتقنيات الزراعة التقليدية.
- غير المدخنين أو من لديهم استعدادٌ للإقلاع عن التدخين قبل وبعد إجراء الزرع.

اقرأ المزيد: كيف يبدو شكل زراعة الأسنان؟
المزايا والعيوب لزراعة الأسنان All on 4
قد لا تناسب تقنية زراعة الأسنان all on 4 جميع الحالات ما يجعلها تحتاج عنايةً فائقةً لتجنّب المضاعفات، وهذا أحد عيوبها. فما هي باقي العيوب لهذه التقنية وما مزاياها؟
مزايا إجراء زراعة الأسنان بتقنية All-on-4
- إمكانية استعادة معظم أو كلّ أسنانك بـ 4 غرساتٍ فقط لكلّ فك.
- غالباً ما تسمح بتركيب جسرٍ مؤقتٍ ثابتٍ في نفس يوم الجراحة.
- تقلل الحاجة إلى إجراءات تطعيم العظام في العديد من الحالات.
- توفر حلاً ثابتًا ومريحًا مقارنةً بأطقم الأسنان المتحركة.
- يمكن أن تكون أقل تكلفةً وأسرع في الإنجاز من زراعة عدد كبير من الغرسات المنفصلة.
- تساعد في الحفاظ على عظم فكك الموجود ومنع تدهوره.
عيوب زراعة الأسنان بتقنية All-on-4
- قد تتطلب إزالة جميع الأسنان المتبقية في فكك المُعالج حتى لو كانت سليمة جزئيًا.
- يعتمد نجاحها بشكلٍ كبيرٍ على تخطيطٍ دقيقٍ ومهارة الجراح.
- في حالة فشل إحدى الغرسات، قد يؤثر ذلك على ثبات الجسر بالكامل.
- توفر دعمًا أقل للأضراس الخلفية مقارنةً بوجود عدد أكبر من الغرسات.
- قد تحتاج إلى استبدال الجسر المؤقت بآخر دائم بعد فترة الشفاء.
- تتطلب عنايةً فمويةً دقيقةً ومنتظمةً للحفاظ على صحة اللثة المحيطة بزرعات الأسنان.

اقرأ أيضاً: زراعة الأسنان بتقنية الكل على 6: كل ما تحتاج إلى معرفته
كم تبلغ تكلفة زراعة الأسنان بتقنية All-on-4؟
تعتمد بروف كلينيك في تركيا مجموعة منتجاتٍ طبيةٍ متنوعةٍ من أهم الماركات العالمية المعروفة بجودتها لنضمن لك ولمرضانا أفضل النتائج عند زراعة الأسنان بتقنية All-on-4. طبعاً وبناءً على العلامة التجارية المُختارة، ستتفاوت تكلفة الزرعات السنية مع توفيرنا لخصوماتٍ تجعل العلاج في متناول الجميع:
- الحدّ الأدنى للتكلفة المخفضة لزراعة All-on-4 يبلغ 3,900 يورو.
- الحدّ الأقصى للتكلفة المخفضة لزراعة All-on-4 يبلغ 6,600 يورو.
يمكنك الاستفادة من خدمات بروف كلينك التي تجمع بين التكلفة المناسبة والجودة العالمية، مع عروضٍ شاملةٍ تغطي الزراعة والإقامة والنقل. تواصل مع فريقنا واحصل على استشارة مجانية وتخطيط علاجي مخصص.
اقرأ المزيد: تكلفة زراعة الأسنان في تركيا وفي العالم: ما الأفضل والأوفر؟
استعد ابتسامتك بثقة مع زراعة الأسنان (أول أون فور) معنا في عيادة بروف
حيث نعد في بروف كلينيك وجهتك المثالية لإجراء هذه التقنية المتطورة بفضل خبرتنا الواسعة والنتائج عالية الجودة التي نقدمها. نقدم لك تجربة علاجٍ مريحةٍ وفعّالةٍ لاستعادة جمال ووظيفة أسنانك بثقة تامة.
لماذا تختار بروف كلينك؟
- أسعار تنافسية: تكاليف مخفّضة مع خصومات.
- أطباء متخصصون: فريقٌ من خبراء زراعة الأسنان بمؤهلاتٍ عالميةٍ.
- تكنولوجيا متطورة: استخدام أحدث الأجهزة والمواد عالية الجودة.
- رعاية شاملة: خدماتٌ متكاملةٌ تشمل الاستشارة والعلاج والمتابعة.
- نتائج مضمونة: نسبة نجاحٍ عاليةٍ مع ضمانٍ طويل الأمد.
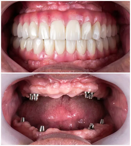
صور قبل وبعد لزراعة الأسنان All-on-4 في تركيا
تُظهر صور قبل وبعد زراعة الأسنان All-on-4 في عيادتنا بروف كلينك، تحوّلاتٍ مذهلةٍ في ابتسامات مرضانا. حيث يتم استعادة مظهر الأسنان الطبيعي ووظيفتها بشكلٍ كاملٍ، بما يعزز الثقة والراحة.
مراجعات زراعة الأسنان بتقنية All-on-4
يشيد العديد من المرضى الذين خضعوا لزراعة الأسنان بتقنية أول أون فور All-on-4 في عيادة بروف بالنتائج الرائعة التي حصلوا عليها. يصف العديد منهم تجربتهم بأنها مريحةٌ وفعّالةٌ، مع تعافٍ سريعٍ وتحسّنٍ ملحوظٍ في حياتهم.

الأسئلة الشائعة حول زراعة الأسنان بتقنية All-on-4 في تركيا
كيف يتم تنظيف زراعة الأسنان بتقنية All-on-4؟
يتطلب تنظيف زراعة All-on-4 استخدام فرشاة أسنانٍ ناعمةٍ وخيطٍ مائيٍّ أو خاصٍّ للوصول لتحت الجسر المثبت على الغرسات. العناية اليومية الدقيقة والفحوصات المنتظمة ضروريةٌ للحفاظ على صحة اللثة والغرسات.
أي دولة توفر زراعة All-on-4 بأسعار أرخص؟
تعتبر دول مثل تركيا والمكسيك وتايلاند والمجر من الوجهات المعروفة بتقديم زراعة الأسنان، بما في ذلك تقنية زراعة الأسنان all on 4، بأسعارٍ أقل مقارنةً بالولايات المتحدة أو أوروبا الغربية. يعود هذا عادةً لانخفاض تكاليف التشغيل والمعيشة فيها.
كم من الوقت يستغرق الحصول على زراعة All-on-4 في تركيا؟
يمكن غالبًا إجراء الجراحة الأساسية وتركيب طقم أسنانٍ مؤقتٍ ثابتٍ في يومٍ واحدٍ. تستغرق عملية الاندماج العظمي وتركيب طقم الأسنان الدائم عادةً عدة أشهر، غالباً ما بين 3 إلى 6 أشهر.
هل من الآمن إجراء زراعة الأسنان في تركيا؟
طبعاً، يمكن أن يكون آمناً في العيادات ذات السمعة الجيدة التي تتّبع المعايير الدولية وتستخدم تقنياتٍ ومواد عالية الجودة كعيادتنا بروف كلينيك. من الضروري البحث واختيار طبيب وعيادة مؤهلين وذوي خبرة لضمان السلامة وجودة النتائج.
ما هي سلبيات زراعة الأسنان All on 4؟
تشمل السلبيات المحتملة صعوبة التنظيف تحت الجسر، واحتمالية حدوث مضاعفاتٍ جراحيةٍ مثل العدوى أو تلف الأعصاب (وهو أمر نادر)، والحاجة إلى كميةٍ كافيةٍ من العظم لدعم الغرسات الأربع بشكلٍ فعّال.
أين أفضل مكان في العالم للحصول على زراعة الأسنان؟
لا يوجد مكانٌ واحدٌ أفضل للجميع، فالأمر يعتمد على عوامل مثل جودة الرعاية، خبرة الأطباء، التكلفة وسهولة السفر. دول مثل ألمانيا وسويسرا والولايات المتحدة معروفةٌ بجودة الرعاية الفائقة، بينما تقدم دولٌ مثل تركيا والمكسيك والمجر خياراتٍ عالية الجودة بتكلفةٍ أقل.
أيهما أفضل: تقنية All-on-4 أم All-on-6؟
تعتمد الأفضلية على حالة عظم الفك المحددة واحتياجاتك، فتقنية all on 4 مناسبةٌ للعديد من الحالات وقد تكون أقل تدخلاً وأسرع. توفر All-on-6 دعماً وثباتاً إضافيين وقد تكون خياراً أفضل للمرضى الذين يملكون كثافةً عظميةً كافيةً، أو يحتاجون إلى توزيعٍ أكبر للقوة، خاصّةً في الفك العلوي.
هل يمكنك الوثوق بأطباء الأسنان في تركيا؟
نعم، يوجد في تركيا العديد من أطباء الأسنان المؤهلين وذوي الخبرة العالية والمتخرجين من جامعاتٍ مرموقةٍ ويعملون في عياداتٍ مجهّزةٍ بأحدث التقنيات كما هو حال أطبائنا في بروف كلينك. ومع ذلك، كما هو الحال في أيّ بلد، تختلف المستويات، لذا من المهم البحث عن الطبيب والعيادة والتأكّد من مؤهلاتهم وسجلهم.
أين يقوم المشاهير بزراعة أسنانهم في تركيا؟
يميل المشاهير، سواء الأتراك أو الأجانب إلى اختيار عيادات ومستشفيات الأسنان الفاخرة والمعروفة بسمعتها الجيدة وطاقمها الطبي المتخصص. تتركّز هذه العيادات عادة في المدن الكبرى مثل إسطنبول وأنقرة وإزمير وتوفر خدماتٍ شاملةً وخصوصيةً عاليةً.
ما هي تقنية أول أون فور (All-on-4)؟
هي تقنيةٌ لزراعة الأسنان تهدف إلى استبدال جميع الأسنان في فكٍ كاملٍ (علوي أو سفلي) باستخدام أربع غرساتٍ فقط يتم وضعها بزوايا محددة. تدعم هذه الغرسات جسراً كاملاً ثابتاً للأسنان، مما يوفر حلاً فعالاً للمرضى الذين يعانون من فقدان معظم أو كلّ أسنانهم.
هل زراعة الأسنان تدوم مدى الحياة؟
يمكن أن تدوم زراعة الأسنان مدى الحياة إذا تم الزرع بشكل صحيح، مع الحفاظ الجيد على نظافة الفم، والمتابعة المنتظمة، لكن التاج أو التركيبة قد تحتاج استبدال كل 10–15 سنة.
ما هي أسباب الخوف من زراعة الأسنان؟
الخوف غالبًا ناتج عن تصور خاطئ للألم، أو القلق من فشل العملية، أو الخضوع لجراحة، بالإضافة إلى تكلفة العلاج ومدة الانتظار حتى التئام العظم.
كيف أعرف أن عملية زراعة الأسنان نجحت؟
نجاح عملية زراعة الأسنانا يظهر من خلال: ثبات الزرعة دون حركة، غياب الألم أو الالتهاب، التئام اللثة حولها بشكل طبيعي، وظهور التاج النهائي بشكل مريح ومتناسق مع الأسنان.



