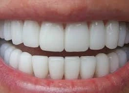
عندما يتعلق الأمر بتحسين ابتسامتك باستخدام القشور الخزفية، تعد المقارنة بين فينير الفيلدسباثيك وقشور إيماكس هي ما يرغب معظم المرضى في فهمه. كل نوع منهما يقدم مزايا مميزة من حيث الجمالية، والمتانة، والتطبيق، لكن الخيار المناسب لك يعتمد على أهدافك الشخصية، وضعية الإطباق، وتوقعاتك التجميلية.
في هذا الدليل الشامل، نوضح كل ما تحتاج معرفته عن كلا النوعين لاتخاذ قرار واثق.
في عيادة بروف كلينيك، نحن متخصصون في تقديم قشور الفيلدسباثيك وتركيبات إيماكس، نساعد المرضى من جميع أنحاء العالم على امتلاك ابتسامات طبيعية ودائمة بدقة عالية ورعاية مخصصة. سواء كنت تقدر التفاصيل الحرفية أو القوة طويلة الأمد، سيساعدك هذا الدليل في اختيار القشرة المناسبة لابتسامة مثالية.
ابقَ معنا…
ما هي قشور الفيلدسباثيك؟
تُعرف تقنية قشور فيلدسباثيك بأنها قشور رقيقة جدًا تُصنع حسب الطلب من نوع من البورسلين يُسمى الفيلدسبات. تُصمم هذه القشور بواسطة فنيي أسنان مهرة باستخدام تقنية الطبقات التي تحاكي الشفافية والملمس الطبيعي للأسنان الحقيقية.
المميزات الرئيسية لقشور بورسلين فيلدسباثيك:
- قيمة جمالية عالية: تشتهر قشور الفيلدسباثيك بمظهرها الطبيعي الشبيه بالأسنان الحقيقية، مما يجعلها مثالية لتحسين الأسنان الأمامية حيث تكون النتائج التجميلية هي الأولوية.
- البورسلين المصنوع يدويًا بطبقات: تُصنع كل قشرة يدويًا طبقة تلو الأخرى، مما يتيح تفاصيل دقيقة وتخصيصًا لا مثان له.
- تدخل طفيف بالأسنان: بفضل سمكها الرقيق للغاية، غالبًا لا تتطلب إزالة المينا أو تتطلب إزالة طفيفة، مما يحافظ على بنية الأسنان الطبيعية.
- حل مثالي لمشاكل سنية مختلفة: تُعتبر مناسبة لتصحيح تغير اللون، الانحرافات الطفيفة، الحواف المكسورة، والتشوهات البسيطة في الشكل.
اختر قشور الفيلدسباثيك إذا كانت أولويتك القصوى هي الحصول على ابتسامة طبيعية مشرقة مع تدخل طفيف. عملية تصنيعها الفنية تجعلها الخيار المفضل عندما تكون الجماليات هي الاعتبار الأساسي.

اقرأ أيضاً: تكلفة قشور الأسنان في تركيا: احصل على الابتسامة التي حلمت بها بأسعار مناسبة
ما هي قشور إيماكس؟
طلاء الفينير إيماكس قشور عالية القوة مصنوعة من السيراميك الزجاجي المعزز بالليثيوم دايسيليكات، وهي مصممة لتوفير الجمال والمتانة معًا. تُصنع هذه القشور بدقة باستخدام تقنية CAD/CAM، التي تحقق توازنًا بين الشفافية الطبيعية والقوة الفائقة.
المميزات الرئيسية لتركيبات إيماكس:
- القوة الاستثنائية: تتميز قشور إيماكس بمقاومتها العالية للكسور والتآكل، مما يجعلها مثالية للمرضى الذين يبحثون عن نتائج طويلة الأمد.
- المظهر الطبيعي: على الرغم من قوتها، فإنها توفر شفافية ممتازة تحاكي مينا الأسنان الطبيعية بدقة.
- التصنيع الدقيق: على عكس قشور الفيلدسباثيك، تُصنع قشور إيماكس باستخدام أدوات رقمية، مما يضمن الدقة والاتساق في المقاس.
- تصميم سميك نوعًا ما: قد تتطلب إزالة كمية أكبر من المينا مقارنةً بخيارات الفيلدسباثيك، لكنها لا تزال أقل من التيجان التقليدية.
اختر قشور إيماكس إذا كنت بحاجة إلى حل موثوق ومتين يوفر أيضًا جماليات ممتازة. تُعتبر مناسبة بشكل خاص للمرضى الذين لديهم متطلبات وظيفية أكثر قليلاً، مثل المضغ الخفيف أو مشكلات الإطباق، ومع ذلك يرغبون في ابتسامة جذابة.
اطلع أيضًا: تركيبات الايماكس للأسنان: المميزات والعيوب والأسعار
إيجابيات وسلبيات قشور الفيلدسباثيك
افهم الصورة الكاملة قبل أن تقرر ما إذا كانت عدسات الأسنان فيلدسباثيك مناسبة لك.
مزايا فيلدسباثيك فينيرز
استكشف الفوائد الرئيسية التي تجعل تقنية الفيلدسباثيك فينيرز خيارًا رائدًا لتحسينات الأسنان التجميلية.
- جمالية فائقة: توفر قشور الفيلدسباثيك شفافية لا مثيل لها وانعكاسًا طبيعيًا للضوء، مما يجعلها مثالية لتحقيق ابتسامة نابضة بالحياة تشبه الأسنان الطبيعية.
- تدخل طفيف للأسنان: بفضل تصميمها فائق الرقة، غالبًا لا تتطلب إزالة المينا أو تتطلب إزالة بسيطة، مما يحافظ على سلامة الأسنان الطبيعية.
- إمكانية تخصيص عالية: يصنعها فنيون مهرة يدويًا بعناية فائقة، مما يتيح طبقات دقيقة وتفاصيل فنية مصممة خصيصًا لتلبية احتياجات كل مريض.
- مثالية للتصحيحات البسيطة: تُعد مثالية لمعالجة تغير اللون، التشققات الصغيرة، الفجوات، أو الأسنان غير المنتظمة قليلاً دون الحاجة إلى إجراءات جراحية.
سلبيات فيلدسباثيك فينيرز
كن على دراية بالعيوب المحتملة التي قد تؤثر على رضاك طويل الأمد عن قشور الفيلدسباثيك.
- متانة أقل: يعتبر البورسلين الفيلدسباثيك أكثر هشاشة مقارنةً بمواد أخرى مثل إيماكس، مما يجعله أقل ملاءمة للمرضى ذوي العضة القوية أو صرير الأسنان (الطحن).
- حساسية التقنية: يعتمد النجاح بشكل كبير على مهارة صانع السيراميك وطبيب الأسنان؛ قد لا يحقق مقدم خدمة أقل خبرة النتائج المثلى.
- مخاطر التشقق العالية: على الرغم من جمالها، فإن هذه القشور أكثر عرضة للكسور، خاصة إذا تعرضت لضغط مفرط أو صدمة.
- محدودية في الحالات المعقدة: ليست مثالية للأسنان التي تعاني من أضرار كبيرة أو انحرافات شديدة بسبب رقة القشور وهشاشتها.
اختر فينير الفيلدسباثيك إذا كنت تعطي الأولوية للجماليات فوق كل شيء ولديك اهتمامات تجميلية بسيطة. تُعد الخيار الأمثل للمرضى الذين يبحثون عن تحسين دقيق وأنيق بأيدي أطباء مهرة.

إيجابيات وسلبيات قشور إيماكس
احصل على فهم واضح لنقاط القوة والقيود الخاصة بقشور إيماكس قبل اتخاذ قرار العلاج.
مزايا فينير إيماكس
لماذا تُعتبر قشور إيماكس خيارًا شائعًا للمرضى الذين يسعون للجمع بين المتانة والمظهر الجمالي. إليك الإجابة:
- القوة والمتانة العالية: مصنوعة من السيراميك المعزز بالليثيوم دايسيليكات، تتميز قشور إيماكس بقوتها الاستثنائية ومقاومتها للتشقق أو الكسر، مما يجعلها مثالية للاستخدام طويل الأمد.
- مظهر طبيعي: توفر إيماكس شفافية ممتازة وتطابقًا دقيقًا للألوان، مما يحاكي مينا الأسنان الطبيعية للحصول على نتيجة جميلة وواقعية.
- الدقة الرقمية: تتُصنع باستخدام تقنية CAD/CAM، مما يضمن مقاسًا دقيقًا للغاية وجودة متسقة.
- تطبيقات متعددة: مناسبة لمجموعة واسعة من الحالات، من تغير اللون الطفيف إلى إعادة تشكيل معتدلة، بفضل قوتها وجاذبيتها الجمالية.
سلبيات قشور إيماكس
ضع في الاعتبار العوامل التالية التي قد تؤثر على ما إذا كانت تركيبات إيماكس هي الخيار الأنسب لاحتياجاتك.
- الحاجة إلى إزالة مينا أكثر: مقارنةً بقشور الفيلدسباثيك، تكون قشور إيماكس أكثر سماكة قليلاً وقد تتطلب تحضيرًا أكبر للأسنان.
- تفاصيل فنية أقل تخصيصًا: بما أنها تُصنع بالطحن (تقنية CAD/CAM) وليس بالطبقات اليدوية، قد تفتقر قشور إيماكس إلى التفاصيل الدقيقة للغاية التي يمكن لصانع سيراميك ماهر تحقيقها مع البورسلين الفيلدسباثيك.
- التكلفة الأعلى: المواد المتقدمة وعملية التصنيع الرقمية قد تجعل قشور إيماكس أكثر تكلفة من الخيارات الأخرى.
- غير مناسبة للبقع الشديدة: في بعض الحالات، قد تتطلب ظلال الأسنان الداكنة جدًا تقنيات إخفاء إضافية أو خيارات بديلة.
اختر تركيبات إيماكس من عيادة بروف كلينيك إذا كنت تبحث عن توازن بين القوة والجمال وتريد خيارًا موثوقًا يؤدي أداءً جيدًا من الناحيتين التجميلية والوظيفية.

اقرأ أيضاً: لماذا تُعتبر تيجان إيمكس الخيار الأفضل لزراعة الأسنان؟
فينير الفيلدسباثيك مقابل قشور إيماكس
قارن بين العوامل الأكثر أهمية لتختار نوع القشرة الذي يناسب أهدافك، وأسلوب حياتك، وتوقعاتك لابتسامتك.
الخاصية | فينير الفيلدسباثيك | قشور إيماكس |
المظهر | طبيعية للغاية، تُصنع يدويًا بطبقات مع شفافية عالية | جمالية عالية، شفافية أقل قليلاً |
القوة | أكثر هشاشة، غير مثالية للضغط العالي في العضة | قوية جدًا ومتينة (مادة الليثيوم دايسيليكات) |
العمر الافتراضي | 5-10 سنوات مع العناية المناسبة | 10-15 سنة أو أكثر مع الصيانة الجيدة |
التكلفة | عادةً أقل، تختلف حسب الحرفية | أعلى عمومًا بسبب المادة وعملية التصنيع الرقمية |
المزايا | تقليل طفيف للأسنان، جمالية عالية، قابلة للتخصيص بالكامل | قوية، طويلة الأمد، دقيقة رقميًا، متعددة الاستخدامات |
| العيوب | هشة، غير مثالية للمناطق عالية الوظيفة أو العضات القوية | قد تتطلب إزالة مينا أكثر، تفاصيل فنية أقل |
استخدم هذه المقارنة لتحديد ما يهمك أكثر — سواء كان الجمال الطبيعي الفائق، المتانة طويلة الأمد، أو التوازن المثالي بين الاثنين.
غيّر ابتسامتك بدقة وعناية في عيادة بروف كلينيك — حيث يلتقي الفن بطب الأسنان المتقدم.
هل أنت جاهز للبدء؟ تواصل معنا الآن عبر واتساب للحصول على استشارة مخصصة!
كم تكلفة قشور الفلسباثية؟
قبل اختيار نوع القشرة المثالي لك. من المفيد أن تطلع على الأسعار:
- فينير الفيلدسباثيك 250-500 دولار للسن الواحد
- قشور إيماكس 400-800 دولار للسن الواحد
ونحن في عيادة بروف كلينيك في إسطنبول متخصصون في تقديم طب أسنان تجميلي متميز بأيدي خبيرة وأحدث التقنيات، موفرين نتائج طبيعية ودائمة بأسعار منطقية.
اطلع أيضًا: الفرق بين فينير البورسلين والكومبوزيت: كل ما تود معرفته
بروف كلينيك أفضل عيادات الفينير في تركيا
ما يميزنا ويكسبنا ثقة المرضى من جميع أنحاء العالم لتحسين ابتساماتهم. هو:
- أطباء أسنان تجميليون خبراء: يضم فريقنا متخصصين ذوي مهارة عالية وسنوات من الخبرة في طب الأسنان التجميلي، مما يضمن الدقة ونتائج ذات مظهر طبيعي.
- تقنيات متطورة: نستخدم أحدث أنظمة التصوير الرقمي وCAD/CAM لتصميم القشور بدقة، مقاس مثالي، ونتائج طويلة الأمد.
- تصميم ابتسامة مخصص: كل ابتسامة فريدة. نصمم كل علاج وفقًا لملامح وجهك، تفضيلاتك، وأهدافك للحصول على نتيجة تناسبك تمامًا.
- شفافية في التسعير: نقدم باقات قشور تنافسية وشاملة بدون رسوم خفية، موفرين رعاية عالمية المستوى بقيمة استثنائية.
- دعم المرضى الدوليين: من تخطيط السفر إلى الرعاية اللاحقة، فريقنا المخصص يساعدك في كل خطوة لضمان تجربة سلسة وخالية من التوتر.
- موقع مميز في إسطنبول: نقع في قلب إسطنبول، ونقدم رعاية عالية الجودة في بيئة حديثة ومريحة.
في عيادة بروف كلينيك، لا نعزز الابتسامات فحسب — بل نساعدك على اكتساب الثقة، الراحة، والرضا الدائم.
احجز استشارتك المجانية مع بروف كلينيك اليوم وابدأ رحلتك نحو الابتسامة المثالية.
اقرأ أيضاً: القشور الخزفية بدون برد الأسنان: المميزات، العيوب، والبدائل المتاحة
الأسئلة الشائعة حول فينير الفيلدسباثيك وقشورإيماكس
أيهما أفضل، قشور إيماكس أم الفيلدسباثيك؟
اختر قشور الأسنان إيماكس إذا كنت تبحث عن القوة، المتانة، والموثوقية طويلة الأمد، خاصة إذا كنت تعاني من ضغط عضة متوسط أو تحتاج إلى دعم وظيفي. اختر قشور الفيلدسباثيك إذا كانت أولويتك هي الجماليو الطبيعية الفائقة وتقليل تحضير الأسنان. الخيار الأفضل يعتمد على احتياجاتك السريرية وأهدافك الجمالية.
ما هي تقنية قشور الفيلدسباثيك؟
تُعرف قشور الفيلدسباثيك بأنها قشور بورسلين مصنوعة يدويًا من السيراميك القائم على الفيلدسبات بتقنية الطبقات. تكمن قوتها في شفافيتها الطبيعية والفنية المستخدمة في تصنيعها حسب الطلب، مما يجعلها مثالية لتحسينات تجميلية دقيقة وعالية الجودة.
ما هي مزايا البورسلين الفيلدسباثيك؟
- تطابق ممتاز للألوان
- تصنيع حسب الطلب
- تقليل طفيف للأسنان
- مثالية لتصحيحات تجميلية بسيطة
- مظهر طبيعي للغاية مع شفافية مشابهة لمينا الأسنان
كم تدوم قشور الفيلدسباثيك؟
من المتوقع أن تدوم قشور الفيلدسباثيك من 5 إلى 10 سنوات مع العناية المناسبة، النظافة الفموية الممتازة، والفحوصات السنية المنتظمة. يعتمد طول العمر أيضًا على عادات العضة وتجنب الضغط الزائد أو الطحن.
أي القشور تبدو أكثر طبيعية؟
اعتمد على فينير الفيلدسباثيك للحصول على المظهر الأكثر طبيعية بفضل هيكلها المصنوع بطبقات يدوية وشفافيتها النابضة بالحياة. تعكس الضوء بطريقة مشابهة لمينا الأسنان الطبيعية، مما يجعلها مثالية للأسنان الأمامية والمناطق ذات الأولوية الجمالية.
هل يمكن أن تسقط قشور إيماكس؟
قد تنفصل تركيبات إيماكس للأسنان إذا تأثرت التصاقها بسبب تثبيت غير صحيح، صدمة، أو عادات فموية ضارة مثل قضم الأظافر. ومع ذلك، عندما يتم تركيبها بشكل صحيح بواسطة طبيب أسنان متمرس والعناية بها جيدًا، فإن انفصالها نادر الحدوث. التزم دائمًا بتعليمات العناية من طبيب الأسنان لتجنب المشكلات.
كم جلسة يحتاج فينير الأسنان؟
عادةً يحتاج فينير الأسنان إلى جلستين إلى ثلاث جلسات خلال أسبوع واحد تشمل الاستشارة، التحضير، وأخذ الطبعات، ثم التركيب النهائي.
هل الفينير يعالج بروز الأسنان؟
يعالج الفينير البروز البسيط فقط. في الحالات المتقدمة أو التي تتطلب تعديل في الإطباق، يُفضل اللجوء إلى التقويم وليس الفينير وحده.
هل يصفر الفينير؟
الفينير الخزفي (مثل الإيماكس) لا يصفر لأنه مقاوم للتصبغات، أما الكومبوزيت فينير قد يتغير لونه بمرور الوقت خاصة مع القهوة، الشاي أو التدخين.



