أصبحت عدسات الأسنان الخزفية أو فينير الأسنان السيراميك أو أسنان السيراميك خيارًا شائعًا في مجال تجميل الأسنان، لمن يرغب في الحصول على ابتسامة طبيعية وخالية من العيوب.
فهي تجمع بين الصلابة العالية ومقاومة التصبغات، مع تقديم تحسين جمالي يعزز الشكل والوظيفة في آنٍ واحد.
لكن، هل يعتبر فينير السيراميك الخيار المناسب لك؟
في هذا الدليل من بروف كلينيك، سنستعرض ما هي عدسات السيراميك، ونشرح خطوات الإجراء، كما نُناقش مميزاتها وعيوبها وتكاليفها، بالإضافة إلى مقارنتها بأنواع العدسات الأخرى — لمساعدتك على اتخاذ قرار مدروس يناسب حالتك واحتياجاتك الجمالية.
ما هو فينير السيراميك؟
فينر السيراميك أو العدسة الخزفية هي قشرة رقيقة جدًا، تُصنّع خصيصًا لكل مريض باستخدام مادة خزفية عالية الجودة، وتُثبّت على السطح الأمامي للسن.
يهدف هذا النوع من العدسات إلى تحسين لون السن وشكله وتناسقه، ما يمنحك ابتسامة طبيعية ومتقنة خالية من العيوب.
تتميّز أسنان السيراميك بجاذبيتها الجمالية العالية وشفافيتها الطبيعية، ما يجعلها خيارًا مثاليًا لمن يبحث عن ابتسامة أنيقة تدوم طويلًا.
كما أنها مقاومة للتصبغات بشكل كبير، مقارنةً بالعدسات المصنوعة من المواد التجميلية المركّبة (composite)، وهو ما يجعلها الخيار المفضّل للأشخاص الذين يرغبون في الحصول على ابتسامة أكثر إشراقًا وثباتًا ضد تغيّر اللون.
خطوات إجراء فينير السيراميك
يتكوّن إجراء فينير السيراميك عادة من ثلاث مراحل رئيسية:
- مرحلة الاستشارة وتصميم الابتسامة: خلال الموعد الأول، يقوم طبيب الأسنان بتقييم حالة أسنانك، ومناقشة أهدافك الجمالية، ثم يستخدم الفحص الرقمي أو الطبعات التقليدية لوضع خطة تصميم دقيقة لابتسامتك الجديدة.
- تحضير السن وتركيب الفينير المؤقت: في هذه المرحلة، يُزال قدر بسيط جدًا من مينا السن بدقة، للسماح بتركيب الفينير بشكل مثالي. ويتم بعد ذلك وضع فينير مؤقت لحماية الأسنان والحفاظ على شكل الابتسامة أثناء تصنيع الفينير الخزفي الدائم.
- تركيب الفينير الدائم وضبطه النهائي: بعد تصنيع الفينيرات الدائمة، يتم تثبيتها على الأسنان باستخدام لاصق قوي ومخصص للأسنان. ويقوم الطبيب بإجراء التعديلات اللازمة لضمان الراحة، والكفاءة الوظيفية، والمظهر الطبيعي المتكامل.
هذا الإجراء يُعد من الخيارات غير الجراحية البسيطة، ويوفّر تحسّنًا فوريًا في الشكل، مع نتائج تدوم طويلًا وتمنح ابتسامة راقية ومتناغمة.
فوائد وأضرار تلبيس الأسنان بالسيراميك
يُوفّر فينير السيراميك العديد من المزايا، مما يجعله خيارًا مفضلاً في تجميل الأسنان.
تُعد الطبيعية في المظهر من أبرز مزاياه؛ فالمادة المصنوع منها الفينير تحاكي بدقة شفافية الأسنان الحقيقية، مما ينتج عنه ابتسامة متجانسة وواقعية.
بالإضافة إلى ذلك، فإن فينير السيراميك مقاوم للتصبغات بدرجة عالية، مما يضمن احتفاظه بلونه الأبيض الناصع لسنوات دون تغيّر في اللون.
وتُعتبر المتانة من الميزات الرئيسية أيضًا، حيث يمكن أن يدوم فينير السيراميك من 10 إلى 15 عامًا عند العناية به بالشكل الصحيح.
كما أن الإجراء يُعد طفيف التوغل، لأنه يتطلب إزالة كمية أقل من المينا مقارنةً بالتيجان، مما يساعد في الحفاظ على جزء أكبر من بنية السن الطبيعية.
ومع ذلك، هناك بعض العيوب المرتبطة بفينير السيراميك.
نظرًا لأن الإجراء يتطلب إزالة طبقة رقيقة من المينا، فإنه غير قابل للعكس ويؤدي إلى تغيير دائم في بنية السن.
بالإضافة إلى ذلك، فإن فينير السيراميك غالبًا ما يكون أغلى من الفينير التجميلي المصنوع من المواد المركّبة، مما يجعله خيارًا غير متاح للجميع من الناحية المادية.
وعلى الرغم من قوته العالية، إلا أن فينير السيراميك قابل للتشقق أو الكسر عند تعرّضه لضغط مفرط، لذا يُنصح بتوخي الحذر عند تناول الأطعمة الصلبة.
في عيادة بروف كلينيك، نضمن أن يتم تصنيع كل فينير سيراميك بدقة متناهية، لتقديم توازن مثالي بين الجمال، والوظيفة، وطول العمر.
سعر تركيب أسنان سيراميك
تعتمد تكلفة فينير السيراميك على عدة عوامل، منها:
- عدد الأسنان التي تحتاج إلى تغطية
- خبرة طبيب الأسنان
- موقع العيادة الجغرافـي
في دول مثل الولايات المتحدة والمملكة المتحدة، تتراوح تكلفة فينير السيراميك عادةً بين 1000 إلى 2500 دولار أمريكي لكل سن
أما في أوروبا، فتتراوح الأسعار بين 800 إلى 2000 دولار أمريكي للسن الواحد.
لكن في عيادة بروف في اسطنبول في تركيا، يُعد فينير السيراميك أكثر توفيرًا بشكل ملحوظ، حيث يبلغ متوسط التكلفة: من 250 إلى 600 دولار أمريكي للسن الواحد، مع الحفاظ على أعلى معايير الجودة والنتائج.
اقرأ أيضاً: ما هي ابتسامة هوليوود (هوليود سمايل)؟
فينير السيراميك مقابل الأنواع الأخرى
فينير السيراميك مقابل فينير الكمبوزيت
يُعد كل من فينير السيراميك وفينير الكمبوزيت من الحلول الشائعة في تجميل الأسنان، ولكلٍ منهما مميزاته الخاصة.
- يتميّز فينير السيراميك بمظهره الطبيعي بدرجة عالية، إذ يُحاكي شفافية الأسنان الحقيقية ويُعرف بمقاومته الممتازة للتصبغات. ولهذا السبب، يُعتبر خيارًا طويل الأمد، حيث يدوم عادة بين 10 إلى 15 عامًا، وهو عمر أطول بكثير مقارنةً بفينير الكمبوزيت، الذي يستمر في العادة من 3 إلى 7 سنوات.
- في المقابل، يُعد فينير الكمبوزيت خيارًا أقل تكلفة، وغالبًا ما يُمكن إنجازه خلال زيارة واحدة فقط، بينما يتطلب فينير السيراميك عدة زيارات لإتمامه.
فإذا كنت تبحث عن أداء طويل الأمد ومظهر طبيعي راقٍ، فإن فينير السيراميك هو الخيار الأفضل لك. أما إذا كانت التكلفة وسرعة العلاج هما أولويتك، فإن فينير الكمبوزيت يُعتبر بديلاً ممتازًا.
فينير السيراميك مقابل فينير البورسلين
يُعتبر كل من فينير السيراميك وفينير البورسلين من الخيارات الممتازة للحصول على ابتسامة هوليود مثالية.
ورغم أن فينير البورسلين يتمتع بدرجة تحمّل أعلى قليلاً من حيث المتانة، فإن فينير السيراميك يُعد خيارًا أكثر توفيرًا من الناحية المادية، مع تقديم نتائج جمالية مماثلة في أغلب الحالات.
كلا النوعين يمتازان بـمقاومة عالية للتصبغات، مما يضمن بقاء ابتسامتك مشرقة وجذابة لسنوات طويلة.
يبقى الاختيار المثالي بين فينير السيراميك والبورسلان مرتبطًا باحتياجاتك الشخصية، وميزانيتك، وتوصيات طبيب الأسنان المختص.
اقرأ أيضاً: الأسنان الصفراء: أسبابها وهل هي أقوى من الأسنان البيضاء؟
احصل على أفضل فينير سيراميك في عيادة بروف
إذا كنت تفكر في تركيب فينير السيراميك، فإن عيادة بروف في تركيا هي الوجهة المثالية لعلاجات تجميل الأسنان الفاخرة.
نُعرف بخبرتنا في تقديم تحولات شاملة للابتسامة بمستوى عالمي وبأسعار تنافسية. إذ يضم فريقنا نخبة من أطباء تجميل الأسنان المتخصصين في تصميم الابتسامة وعدسات الفينير.
كما نستخدم أحدث التقنيات في تصميم الابتسامة الرقمي، إلى جانب مواد سيراميك عالية الجودة، لنضمن لك نتائج استثنائية على كافة المستويات.
يستفيد مرضانا من خارج تركيا من خدمات VIP متكاملة تشمل:
- الاستقبال من المطار
- إقامة فندقية فاخرة
- رعاية أسنان مخصصة وشخصية
كل ذلك في تجربة مريحة وسلسة تجعلك تشعر وكأنك في منزل.
ابتسامتك المثالية على بُعد استشارة واحدة فقط!
تواصل معنا الآن عبر واتساب بروف كلينيك.
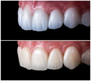
فينير السيراميك قبل وبعد في عيادتنا
شهد العديد من المرضى تحولات جذرية في ابتسامتهم بعد تركيب فينير السيراميك.
إليك صور قبل وبعد فينير السيراميك تُظهر بوضوح التحسّن الكبير في جمالية الابتسامة، وارتفاع مستوى الثقة بالنفس، وتناسق ملامح الوجه بشكل عام:


في عيادة بروف كلينيك، ساعدنا عددًا لا يُحصى من المرضى في الوصول إلى ابتسامتهم المثالية.
يُعد فينير السيراميك خيارًا رائعًا لأي شخص يبحث عن ابتسامة تدوم، بمظهر طبيعي ومقاومة عالية للتصبغات.
ورغم أنه يتطلب استثمارًا عاليًا، إلا أن جماليته اللافتة ودوامه الطويل يجعلان منه استثمارًا يستحق كل قرش.
احجز استشارتك الآن من هنا، وابدأ رحلتك نحو ابتسامة تُشبهك… وتُبهر من حولك!
الأسئلة الشائعة حول فينير الأسنان السيراميك
هل السيراميك أفضل أم الزيركون؟
يعتمد ذلك على الهدف من العلاج.
- السيراميك يتميّز بمظهر طبيعي وشفافية عالية، ويُستخدم غالبًا في الأسنان الأمامية. إذا كانت الأولوية جمالية: السيراميك أفضل.
- الزيركون أقوى وأكثر تحمّلًا، ومناسب للأسنان الخلفية التي تتعرض لضغط أكبر. إذا كانت الأولوية المتانة: الزيركون هو الأنسب.
كم سنة تدوم أسنان السيراميك؟
تدوم عادة من 10 إلى 15 سنة عند العناية الجيدة، وقد تدوم أكثر في بعض الحالات. النظافة اليومية والمتابعة الدورية تلعب دورًا كبيرًا في إطالة عمرها.
ما هي عيوب أسنان السيراميك؟
- قابلة للكسر عند تعرّضها لضغط شديد
- تتطلب إزالة طبقة من مينا السن
- لا يمكن إصلاحها بسهولة في حال الكسر
لكنها في المقابل توفّر مظهرًا جماليًا ممتازًا ومقاومة للتصبغات.
أيهما أفضل التاج الزيركوني أم التاج السيراميكي؟
التاج الزيركوني أقوى، وأكثر تحمّلًا، ومناسب للمضغ. أما التاج السيراميكي أكثر جاذبية من حيث الشفافية والمظهر الطبيعي. والأفضل يُحدَّد حسب مكان التاج في الفم وحالة السن.
هل يتغير لون أسنان السيراميك مع الوقت؟
لا، أسنان السيراميك مقاومة جدًا للتصبغات، وتحافظ على لونها لفترة طويلة. لكن يجب تجنّب العادات التي قد تضر بها مثل كسر المكسرات أو استخدام الأسنان كأداة.
كم يستمر وجع الأسنان بعد تركيب الفينير؟
يستمر الانزعاج أو الألم الخفيف من يوم إلى 3 أيام بعد التركيب، ويزول تدريجيًا. إذا استمر الألم أكثر من أسبوع أو كان شديدًا، يجب مراجعة الطبيب لفحص التركيب أو التحقق من وجود التهاب.
هل يمكن خلع الفينير؟
نعم، يمكن خلع الفينير في العيادة، لكنه إجراء يتطلب دقة لأنه غالبًا ما يكون قد أُزيل جزء من مينا الأسنان. لذلك، إزالته قد تستلزم تعويضه بفينير جديد أو تركيبة بديلة لحماية السن.
هل الفينير يطلع ريحة؟
لا يُسبب فينير الأسنان رائحة كريهة بحد ذاته، لكن تراكم البكتيريا حول الحواف أو ضعف العناية الفموية قد يؤدي لذلك. التنظيف اليومي، مع زيارات دورية للطبيب، يضمن عدم حدوث أي روائح.



